Implant et prothèse fixe
Je veux retrouver l’ensemble de mes dents individuelles comme «au naturel».
Solution : autant de couronnes fixes sur implants que de dents manquantes.
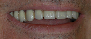
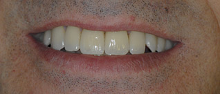
Je veux supprimer les bridges et retrouver un beau sourire.
Au final toutes les dents sont individualisées et les manquantes remplacées par des implants.
Il me manque de nombreuses dents, les autres sont perdues, je veux l’idéal.
Solution : on peut remplacer toutes vos racines manquantes ou perdues par autant de racines artificielles et vous redonner des dents fixes partout.
Toutes dents sont hélas perdues. Toutes les dents absentes sont remplacées par des couronnes sur implants.
J’ai des caries partout, des dents manquantes, je veux l’idéal.
Toutes les dents manquantes sont remplacées et le sourire refait.
J’ai des problèmes, je refuse l’appareil mobile.
J’ai une maladie des gencives et mes dents tombent les une après les autres, je refuse un appareil que je serais obligé d’enlever
Solution : on va traiter les dents qui sont récupérables et remplacer les autres par des implants.
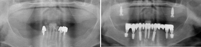
Implants multiples pour éviter les bridges et redonner des dents individuelles au patient avec traitement d’une maladie parodontale.
Implants multiples pour éviter les bridges et redonner des dents individuelles au patient. État final.
J’ai des vieilles couronnes et des bridges à refaire, je refuse l’appareil mobile. On reprend la totalité du sourire et on place des dents fixées sur implants.
J’ai une ou plusieurs dents qui manquent que je veux remplacer mais sans toucher aux autres.
Solution : on va remplacer ces dents par la mise de un ou plusieurs implants.
Des dents qui manquent.
Les dents sont remplacées par des couronnes individuelles sur implants. Sourire final.
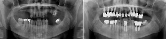
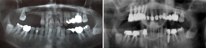
Une situation de pertes dentaires multiples et infections sous des racines naturelles.
Final : traitements de racines effectués et dents manquantes remplacées.
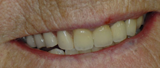
J’ai de vieux bridges à refaire et je veux autre chose.
Solution : on les remplace par la mise en place de plusieurs implants
Un grand bridge supérieur à refaire, le patient veut des dents individuelles.
J’ai un appareil amovible du bas que je ne supporte plus, je veux des dents fixées.
Solution : on rajoute autant d’implants que il manque des dents qui serviront à fixer vos nouvelles couronnes.
Mon appareil du haut va bien, mais je voudrais supprimer l’appareil du bas.
Solution : on rajoute autant d’implants que il manque des dents qui serviront à fixer vos nouvelles couronnes.
Dans ce cas, la prothèse amovible inférieure est supprimée, remplacée par un bridge fixe de 10 dents.
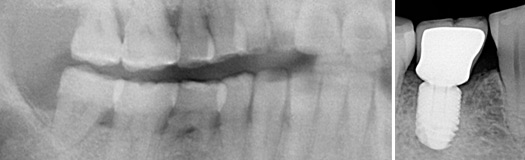
J’ai juste une dent à extraire c’est tout.
Solution : on l’enlève et on place un implant pour la remplacer tout simplement.
La dent sera extraite et si cela est possible, la racine artificielle sera placée DE SUITE après l’extraction permettant de gagner du temps sur la cicatrisation.
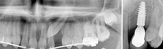
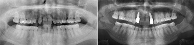
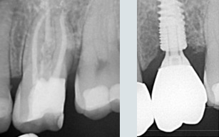
Une molaire du bas perdue serra remplacée par un implant.
Une molaire du haut perdue remplacée par une racine artificielle.
Implant et prothèse mobile
J’ai perdu quelques dents et j’ai un appareil qui me fait mal et qui bouge. Je veux quelque chose de très simple.
Solution : on refait simplement un nouvel appareil amovible voire on garde votre ancien et on le stabilise avec un ou plusieurs implants.
Mon appareil ne tient plus en bas que faire ?
Je suis en train de perdre toutes mes dents du haut et je veux un appareil simple mais sans palais.
Solution : on refait simplement un nouvel appareil amovible sans palais qui sera stabilisé par 4 implants.
Les dents supérieures sont toutes perdues. Au final, un appareil supérieur stabilisé par 5 implants et barre stabilisatrice.
Le patient présente des dents mobiles en haut à extraire.
Au final, quatre implants stabilisent un appareil amovible complet sans palais.
J’ai perdu mes dents du haut et j’ai un appareil qui bouge. Je suis en train de perdre toutes mes dents du bas, je refuse un nouvel appareil.
Solution : on fait un bridge fixé sur 6 à 10 implants en bas et on stabilise l’appareil du haut par deux implants.
Toutes les dents du bas sont perdues, on fait les extractions, la mise en place des implants et en même temps la mise en place du bridge FIXE provisoire : pas d’appareil amovible à supporter!
Les trois dents du bas qui tiennent mon appareil sont perdues. Un bridge fixe complet sera réalisé pour supprimer l’appareil inférieur.
J’ai perdu toutes mes dents du bas et mon appareil mobile bouge et me blesse.
Solution : on refait ou on modifie votre appareil amovible en le stabilisant par la mise en place de deux ou quatre implants.
J’ai un appareil amovible haut et bas, je ne supporte plus le bas et le haut il bouge trop.
Solution : on supprime l’appareil du bas en mettant des implants qui servent à fixer un bridge fixe et en haut on place deux implants pour faire mieux tenir l’appareil mobile.
Dans ce cas, en bas 6 implants servent à réaliser un bridge fixe de 12 dents et en haut deux implants servent à stabiliser un appareil amovible.
Implant et urgences dent cassée
Je viens de me casser une dent.
Solution : on l’enlève et on rajoute de suite l’implant qui servira de support à la nouvelle dent.
Implant orthodontie et agénésie
Il me manque plusieurs dents définitives qui ne sont jamais sorties.
Solution : le cas sera réglé en association avec l’orthodontiste qui va préparer les espaces pour mettre les racines artificielles.
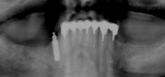
Agénésie des deux incisives latérales et pas de place pour les remplacer.
Final après traitement chirurgical maxillofacial, orthodontique et mise en place des couronnes sur implant.
Ma dent définitive est absente, je ne l’ai jamais eue.
Solution : on remplace la dent de lait par une couronne sur implant.
Ma dent de lait est perdue et je n’ai pas de définitive dessous.
Elle est remplacée par une couronne sur implant.
Ma canine est incluse et doit être extraite.
Elle est remplacée par une couronne sur implant.
Ma dent de lait est perdue et je n’ai pas de définitive dessous.
Elle est remplacée par une couronne sur implant.
Le cas critique
Je suis en train de perdre mes dents et j’ai de gros problèmes de santé.
Solution : l’implantologie n’est pas pour vous mais on a des solutions. Regardez ce cas critique.
Cas critique et santé contre indiquant les implants.
Au final, un bridge FIXE et en haut un appareil stabilisé par des couronnes fraisées.