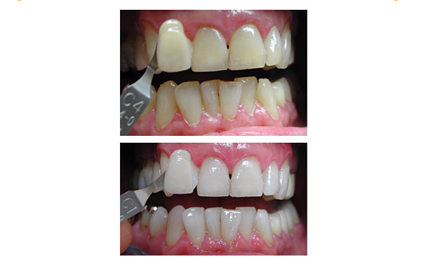
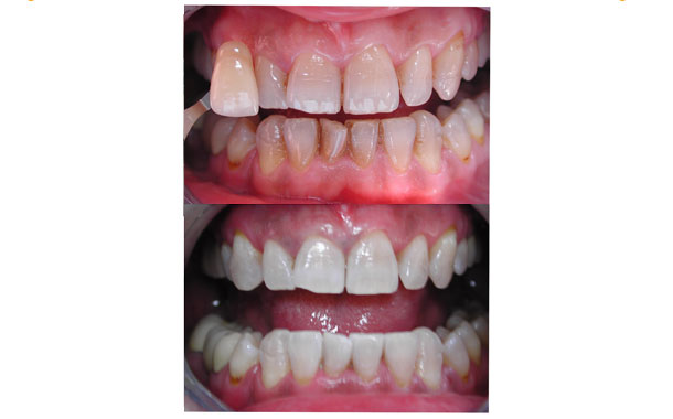
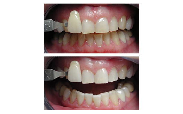
Les Blanchiments

Après la vérification clinique et radiographique un éclaircissement vous sera proposé si cela est votre souhait. Deux techniques sont utilisées, soit par gouttières « à la maison » soit en ambulatoire au fauteuil (technique zoom) ce qui est beaucoup plus rapide !